Տեսական և կլինիկական բժշկության հարցեր 3.2012
Պարանոցային զարկերակների վնասվածքների բուժումր ողնաշարի պարանոցային հատվածի կոտրվածքների ժամանակ
Ներածություն
Ողնաշարի պարանոցային հատվածի վնասվածքները առանձնանում են կրծքային և գոտկային ողների վնասվածքներից իրենց ծանրությամբ, ինչպես նաև գլխուղեղը սնող խոշոր պարանոցային զարկերակների վնասման պոտենցիալ հնարավորությամբ: 1872թ-ին Rubio-ն և համահեղինակները գրականության մեշ առաշին անգամ նկարագրել են ողնաշարային զարկերակների վնասումները պարանոցային ողների կոտրվածքների ժամանակ: Նրանք գտնում էին, որ զարկերակների վնասումների հաճախականությունը ողնաշարի պարանոցային հատվածի կոտրվածքների ժամանակ կազմում է 0.08%: Ներկայումս նյարդավիրաբուժության մեշ կիրառվող նեյրովիզուալիզացիայի մեթոդների կատարելագործման և հետազոտության նոր մեթոդների ներդրման շնորհիվ զգալիորեն մեծացել է ախտորոշումների ճշգրտությունը: Հայտնի է դարձել, որ զարկերակների նման վնասումները սակավ չեն և հանդիպում են այս հիվանդների մինչև 33%-ի մոտ: Ներկայումս գոյություն չունի պարանոցային զարկերակների տրավմատիկ վնասումներով հիվանդների վարման միասնական ուղեցույց: Դրա հետևանքով զարկերակների վնասումները կարող են ժամանակին չախտորոշվել, իսկ կլինիկական ախտանիշները վերագրվել հիմնական պարանոցային վնասվածքին կամ ուղեկցող գանգուղեղային վնասվածքին: Արդյունքում բուժական միշոցառումները թերի են մնում: Մինչդեռ, ողնաշարային զարկերակների վնասվածքների այնպիսի սպառնալից բարդության բուժումը, ինչպիսին է օրինակ իշեմիկ կաթվածը, արդյունավետ է, եթե այն սկսվում է տրավմայի առաշացման պահից սկսած 14 ժամվա ընթացքում:
Նյութերն ու մեթոդները
Հետազոտության ռետրոսպեկտիվ մասում ընդգրկվել են 2006թ. ապրիլից մինչև 2009թ. դեկտեմբեր ամիսները ԱՄՆ-ի Մեյկոն քաղաքի "Զորշիայի Նյարդավիրաբուժության ինստիտուտ" ընդունված 139 հիվանդներ, որոնց մոտ կատարված ԿՏ հետազոտությամբ հայտնաբերվել են ողնաշարի պարանոցային հատվածի կոտրվածքներ: Հայաստանի Հանրապետությունում տվյալ պրակտիկան ներ-դնելուց հետո հետազոտության պրոսպեկ- տիվ մասով ընդգրկվել են նաև 2010թ.-ի սեպտեմբերից մինչև 2011թ.-ի նոյեմբեր ամիսների ընթացքում ԵՊԲՀ "Հերացի" Հ1 հիվանդանոցային համալիր ընդունված 3 հիվանդներ: Բոլոր հիվանդների ռադիոլոգիական հետազոտությունների տվյալները ենթարկվել են անկախ մանրամասն ուսումնասիրության ռադիոլոգի և նյարդավիրաբույժի կողմից:
Պարանոցային զարկերակների վնասվածքների (ՊՁՎ) հայտնաբերման դեպքում դինամիկ հսկողությունը իրականացվել է կրկնակի ԿՏԱ հետազոտության կամ ախտորոշիչ ցերեբրալ անգիոգրաֆիայի միջոցով, որը կորելացվել է նյարդաբանական ստատուսի տվյալների հետ: Տվյալները ներմուծվել են սույն հետազոտության համար հատուկ կազմված Microsoft Access 2007 տվյալների հենքի մեջ: Վիճակագրական վերլուծությունը կատարվել է SPSS 17.0 (SPSS, Inc., Chicago, IL) ծրագրային ապահովման միջոցով՝ ունիվարիատ, մուլտիվարիատ և X2 վիճակագրական տեստերի միջոցով: Հայտնաբերված տարբերությունները համարվել են վիճակագրորեն հավաստի P ‹0.05 արժեքների դեպքում: ՊՁվ-երով հիվանդների մոտ բուժման մարտավարությունը ընտրվել է ըստ տվյալ հիվանդի բուժող բժշկի ընտրության և ներառել է դինամիկ հսկողություն, հակաագրեգանտ դեղամիջոցներ, հակակոագուլյանտներ, վիրաբուժական միջամտություններ: կիրառված բուժական մեթոդների և մարտավարությունների, ինչպես նաև բուժման հեռակա արդյունքների ուսումնասիրությունը իրականացվել է հիվանդների կրկնակի այցելությունների միջոցով՝ վնասվածքի առաջացման օրից 2 ամիս, 6 ամիս և 1 տարի անց: Նյարդաբանական խանգարումների առկայության դեպքում կրկնակի կոնսուլտացիաները կատարվել են ավելի հաճախակի: Հիվանդների միջին տարիքը եղել է 47 (10-ից 90 տարեկան): Տարիքային խմբերը ստորաբաժանվել են 3 միջակայքերի՝ մինչև 34 տարեկան, 35-64 և 65-ից բարձր տարիքի հիվանդների: Ընդհանուր առմամբ ԿՏԱ տվյալներով հայտնաբերվել են պարանոցային զարկերակների 43 վնասվածքներ, որը կազմում է ընդհանուր հիվանդների թվի 30.3%-ը: 26 (60.5%) հիվանդների կոնսերվատիվ բուժման համար կիրառվել են հակաագրեգանտ կամ հակակոագուլյանտ դեղամիջոցներ, երեք հիվանդներ (7%) բուժվել են վիրաբուժական եղանակով և 14 (32.5%) հիվանդների նկատմամբ սահմանվել է դինամիկ հսկողություն առանց հատուկ դեղորայքային բուժման: Վիրահատական միջամտություններից երկուսը կատարվել են ներանոթային եղանակով, իսկ մեկը՝ բաց վիրահատական եղանակով:
Արդյունքների վերլուծությունը
ՊՁՎ-երի բուժումը հանդիսանում է ողնաշարի պարանոցային հատվածի կոտրվածքներին վերաբերվող գրականության, թերևս, ամե- նահակասական հարցը: Հնարավոր տարբերակները ընդգրկում են. դինամիկ հսկողություն՝ առանց հատուկ դեղորայքային բուժման; հակաագրեգանտներ (Ասպիրին և/կամ Պլավիքս); հակակոագուլյանտներ (Հեպարին և/կամ Վարֆարին); հակակոագուլյանտների և հակաագրեգանտների զուգակցում; էնդո- վասկուլյար միջամտություններ (ստեն- տավորում, անոթի էմբոլիզացիա, կեղծ անևրիզմաների էնդովասկուլյար օբլիտերացիա միկրոպարույրներով, թրոմբէկտոմիա); բաց վիրահատական միջամտություններ (շուն- տավորում, էնդարտերէկտոմիա): Վնասվածք ստանալուց անմիջապես հետո ՊՁՎ- երը դրսևորվել են կլինիկական ախտա- նիշներով 5 հիվանդների մոտ (11.6%): Դինամիկ հսկողության ընթացքում կլինիկական ախտանիշներ առաջացել են ևս 3 հիվանդների մոտ: Նշված 8 հիվանդներից 2-ին նշանակվել են հակաագրեգանտներ, 2-ին՝ հակակոագուլյանտներ, իսկ մնացած 4-ին՝ կոմբինացված բուժում նշված երկու խմբի դեղամիջոցներով: Դեղորայքային բուժման ֆոնի վրա 4 հիվանդների մոտ նկատվել է գանգատների նվազում, 1 հիվանդի մոտ գանգատները պահպանվել են, 2 հիվանդների մոտ կլինիկական ախտանիշները հարաճուն կերպով ավելացել են, ևս մեկ հիվանդ մահացել է: Ընդ որում, տվյալների մանրամասն ուսումնասիրության արդյունքում պարզվել է, որ կոմբինացված հակաթրոմբոտիկ բուժումը առավել արդյունավետ է, սակայն պարունակում է կողմնակի ազդեցությունների առաջացման առավել բարձր վտանգ: Կոմբինացված բուժման կիրառումը երկու հիվանդների մոտ հանգեցրել է ստամոքս-աղիքային արյունահոսությունների, որոնք սակայն արագ ենթարկվել են գաստրոպրոտեկտիվ բուժմանը: Այսպիսով, սիմպտոմատիկ հիվանդների բուժման սկզբնական վարման ամենանպատակահարմար տարբերակը կոմբինացված հակաագրեգանտային և հակա- կոագուլյանտ բուժումն է, որը սակայն խիստ դինամիկ հսկողության կարիք ունի՝ ՊՁՎ-երի կլինիկական ախտանիշների հարաճման և հեմոռագիկ բարդությունների առաջացման վտանգի հետ կապված: Բարդությունների դեպքում հնարավոր այլընտրանքային եղանակ է հանդիսանում նաև մոնոթերապիան հակաագրեգանտներով կամ հակա կոագուլյանտներով:
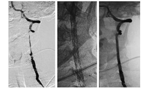
Վերոհիշյալ 3 հիվանդները, որոնց կոնսերվատիվ բուժումը եղել է ապարդյուն, ենթարկվել են վիրահատական բուժման: վիրահատական միջամտություններից երկուսը կատարվել են ներանոթային եղանակով, իսկ մեկը՝ բաց վիրահատական եղանակով: Ներանոթային վիրահատության ենթարկված երկու հիվանդներից մեկի մոտ առկա է եղել դոմինանտ ողնաշարային զարկերակի V2 սեգմենտի տարածուն շերտազատում: Կատարվել է ողնաշարային զարկերակի ստենտավորում Enterpirse նիտինոլային ստենտի միջոցով, որի օգնությամբ հաջողվել է վերականգնել ողնաշարային զարկերակի անցանելիությունը (նկար 1):Հետվիրահատական շրջանում 27 ամիս տևողությամբ դինամիկ հսկողության ընթացքում հիվանդի մոտ ուղեղի արյան շրջանառության կրկնակի խանգարումներ և հեմոռագիկ բարդություններ չեն դիտվել: Երկրորդ հիվանդի մոտ առկա է եղել ձախ ողնաշարային զարկերակի V3 սեգմենտի կեղծ անևրիզմա: Հիվանդի մոտ վնասվածքից 3 ամիս անց նկատվել են անցողիկ իշեմիկ գրոհի էպիզոդներ: Վերջիններիս կապակցությամբ հիվանդին նշանակվել է հակաագրեգացիոն թերապիա (Ասպիրին 325մգ/օր), որը սակայն եղել է ապարդյուն: Ուստի որոշում է կայացվել կատարել վիրահատություն՝ կեղծ
անևրիզմայի էնդովասկուլյար օբլիտերացիա միկրոպարույրներով: Հետվիրահատական շրջանը ընթացել է առանց բարդությունների:
3 ամիս տևողությամբ դինամիկ հսկողության արդյունքում կրկնակի անցողիկ իշեմիկ գրոհի նոպաներ չեն դիտվել:
Նկար 1. Ձախ ողնաշարային զարկերակի տարածուն շերտազատում, որը հաջողությամμ բուժվել է ներանոթային ստենտավորման միջոցով
Վիրահատական միջամտությունը իրականացվել է ձախ ՆՔՁ արտագանգային (C1) սեգմենտի շերտազատումով հիվանդի մոտ, որը վնասվածքից հետո եղել է ասիմպտոմատիկ, սակայն կարճ ժամանակ անց առաջացել է շշմածություն, ընդհանուր թուլություն: Կիրառված հակամակարդիչ բուժումը եղել է ապարդյուն, ուստի որոշում է կայացվել կատարել վիրահատություն՝ շերտազատման հատվածի փոխարինում v. saphena magna-ից վերցված երակային աուտոտրանսպլանտատով: Վերը նկարագրված տվյալներից հետևում է, որ սիմպտոմատիկ հիվանդների կոնսերվատիվ բուժման անարդյունավետության դեպքում ցուցված է կատարել բաց կամ էնդովասկուլյար վիրաբուժական միջամտություններ, որոնց ընտրությունը անհատական է և պայմանավորված է զարկերակային վնասվածքի տեսակով: Պատկերն ավելի հետաքրքիր է ասիմպտոմատիկ հիվանդների շրջանում: Վնասվածքից անմիջապես հետո 38 հիվանդներ ունեցել են ասիմպտոմատիկ ՊՁՎ: Վերջիններս բաժանվել են 4 խմբի: Առաջին խմբում ընդգրկվել են 15 հիվանդներ, որոնց նկատմամբ սահմանվել է դինամիկ հսկողություն առանց հատուկ դեղորայքային բուժման, երկրորդ խմբում ընդգրկվել են 8 հիվանդներ, ովքեր ստացել են միայն հակամակարդիչ բուժում: Երրորդ խումբը կազմվել է 4 հիվանդներից, որոնց նշանակվել են միայն հակաագրեգանտներ և, վերջապես, չորրորդ խմբում ընդգրկվել են 11 հիվանդներ, ովքեր ստացել են կոմբինացված հակաագրեգանտային և հակամակարդիչ բուժում: 6 ամսվա դինամիկ հսկողության ընթացքում առաջին խմբի հիվանդներից միայն 1-ի (6.6%) մոտ է ՊՁՎ-ը դարձել սիմպտոմատիկ, երկրորդ և երրորդ խմբերում ընդգրկված բոլոր հիվանդները մնացել են ասիմպտոմատիկ դինամիկ հսկողության ողջ ընթացքում, իսկ չորրորդ խմբի հիվանդներից 2-ը (18.2%) դարձել են սիմպտոմատիկ (դիագրամ 1):
Այսպիսով, չնայած առավելագույն հակաթրոմբոտիկ բուժական միջոցառումների իրականացմանը՝ չորրորդ խմբի հիվանդների մոտ ասիմպտոմատիկ ՊՁՎ-երը մոտ 3 անգամ ավելի հաճախ են դառնում սիմպտոմատիկ: Այս տարբերությունը խմբերում ընդգրկված հիվանդների փոքր թվի պատճառով վիճակագրորեն հավաստի չէ, սակայն թույլ է տալիս եզրակացնել, որ ասիմպ-տոմատիկ հիվանդների վարման ամենա- նպատակահարմար մարտավարությունը դինամիկ հսկողությունն է՝ առանց հատուկ դեղորայքային բուժման: Վերջինս թույլ է տալիս խուսափել հակաթրոմբոտիկ բուժման հետ կապված հնարավոր բարդություններից և 93,3% դեպքերում բուժման արդյունքները լինում են բավարար: ՊՁՎ-երով բարդացած ողնաշարի պարանոցային հատվածի կոտրվածքներով 43 հիվանդների շրջանում գրանցվել է մահվան 3 դեպք (7%): Սակայն տվյալների մանրամասն վերլուծությունից պարզ է դարձել, որ վերջիններս պայմանավորված են եղել ոչ թե զարկերակային վնասվածքով, այլ ուղեկցող ծանր գանգուղեղային կամ ողնաշար-ողնուղեղային վնասվածքով:
Եզրակացություն
Այսպիսով, պարանոցային զարկերակների վնասվածքները հանդիսանում են ողնաշարի պարանոցային հատվածի կոտրվածքների հնարավոր վտանգավոր բարդություններից մեկը, որոնց հանդիպման հաճախականությունը կազմում է շուրջ 30%: ԿՏԱ հետազոտությունը հանդիսանում է ՊՁՎ-երի ախտորոշման արագ, մատչելի և ինֆորմատիվ հետազոտության եղանակ, որը, օժտված լինելով բավարար սպեցիֆիկությամբ և զգայունությամբ, հանդիսանում է ՊՁՎ-երի ախտորոշման առաջին ընտրության եղանակ: Պարանոցային զարկերակների ասիմպտոմատիկ վնասվածքները, հանդիսանալով սկզբունքորեն բարորակ հիվանդություն, չեն պահանջում հատուկ կոնսերվատիվ կամ վիրաբուժական բուժում, միևնույն ժամանակ խիստ դինամիկ կլինիկական և ռադիոլոգիական հսկողությունը պարտադիր է: Հակակոագուլյանտ և հա- կաագրեգանտ դեղամիջոցները հավասար արդյունավետությամբ կարող են համարվել որպես ընտրության դեղամիջոց պարանոցային զարկերակների սիմպտոմատիկ վնասվածքներով հիվանդների մոտ: Առանձնահատուկ դեպքերում՝ դեղորայքային բուժման անարդյունավետության դեպքում կարող են կիրառվել էնդովասկուլյար և բաց վիրաբուժական միջամտությունները:
Դիագրամ 1. Ասիմպտոմատիկ հիվանդների դինամիկ հսկողության արդյունքները
Գրականության ցանկ
- Antevil J.L. et al. J Trauma, 2006. 61(2): p.382-7.
- Fassett D.R., A.T.Dailey, A.R.Vaccaro. J Spinal Disord Tech, 2008. 21(4): p.252-8.
- Biffl W.L. et al. Ann Surg, 2000. 231(5): p.672-81.
- Cothren C.C., et al. J Trauma, 2003. 55(5): p.811-3.
- Hoit, D.A., et al. J Spinal Disord Tech, 2008. 21(4):p.259-66.
- Banit D.M., G.Grau, J.R.Fisher. J Trauma, 2000. 49(3):p.450-6.
- Kerwin A.J., et al. J Trauma, 2001. 51(2): p.308-14.
- Lum C. et al. AJNR Am J Neuroradiol, 2009. 30(4):p.787-92.
- Malhotra A.K. et al. Ann Surg, 2007. 246(4): p.632-42;discussion 642-3.
- Krajewski L.P., N.R.Hertzer. Ann Surg, 1980. 191(3):p.341-6.
- Sack J.A., et al. J Spinal Disord Tech, 2009. 22(2): p.86-90.
- Yokota H. et al. J Nippon Med Sch, 2007. 74(4): p.293-9.
- Vertinsky A.T. et al. AJNR Am J Neuroradiol, 2008. 29(9):p.1753-60.
- Friedman D. et al. AJR Am J Roentgenol, 1995. 164(2): p.443-7; discussion 448-9.
- Kral T. et al. Zentralbl Neurochir, 2002. 63(4): p.153-8.
- Rabb C.H. et al. J Spinal Disord Tech, 2007. 20(6): p.416-22.
- Ren X. et al. J Trauma, 2007. 63(6): p.1249-53.
- Veras L.M. et al. Spine (Phila Pa 1976), 2000. 25(9):p.1171-7.
- Torina P.J. et al. AJNR Am J Neuroradiol, 2005. 26(10):p.2645-51.
- Hadley M.N. Neurosurgery, 2002. 50(3 Suppl): S173-8.
29.10.2012 Կարդացեք նաև
Պրակտիկ բժշկության մեջ առավել լայն տարածում են գտել շրջանառող արյ ան ծավալի (ՇԱԾ) որոշման անուղղակի մեթոդներր, որոնք հիմնված են լաբորատոր և կլինիկական տվյալների ձեռքբերման վրա կամ իրական և նորմալ ՇԱԾ-ի հարաբերակցության գնահատմամբ...
31.10.2012 Գրականության տվյալներով [1,5], բացահայտված են որոշակի կախվածություն այնպիսի հիվանդություններով տառապող հիվանդների վիճակի ե շրջակա միջավայրի գործոնների միջև, ինչպիսիք են` ՍՍԻ, ՀՀ, ՍԻՀ, ԳուԱՇՍԽ ե այլն`այսպես կոչված եղանակային կախյալություն...
30.10.2012
ԱՄԵՆԱԸՆԹԵՐՑՎԱԾ ՀՈԴՎԱԾՆԵՐԸ
-
Ժողովրդական դեղամիջոցներ
-
Հղիություն. 4-րդ ամիս
-
Հղիություն. 7-րդ ամիս
-
Կոճապղպեղ նույնն է՝ իմբիր, Ginger եւ Zingiber Officinale
-
«Արագիլ» հիմնադրամը ստեղծված է՝ օգնելու անպտղությամբ տառապող զույգերին. Կարինե Թոխունց
-
Հղիություն. 6-րդ ամիս
-
Հղիություն. 2-րդ ամիս
-
Ամուսնական առաջին գիշերը
- 4-7 ամսական երեխաների սնուցումը
-
Ընկերության մասին
-
Խնձորը` պզուկների դեմ. ազատվիր նրանցից 1 գիշերվա ընթացքում
-
Ինչպես ազատվել անցանկալի մազերից
-
Պարզվում է ապագա երեխայի սեռը կախված է մայրիկի սնունդից
-
Դդում
-
Հիվանդություն, որը փոխում է մեր կյանքը` կրծագեղձի քաղցկեղ
-
Կոճապղպեղ՝ նիհարելու համար (կոճապղպեղի թեյ)
-
Սեռական գրգռում
-
Արգանդի միոմա. նախանշանները, պատճառներն ու բուժումը
-
Հղիություն. 1-ին ամիս
-
Երիցուկ դեղատնային - Ромашка аптечная - Matricaria chamomilla L.
-
Չիչխանի օգտակար հատկությունները
-
Քարավուզ (նույն ինքը՝ նեխուր)
-
Ինչպես ազատվել բերանի վատ հոտից`պարզ միջոց
-
Կրծքի ցավե՞ր ունեք. ինչ անել
-
Դիմակներ` մազերի համար
-
Հեշտոցային արտադրության պատճառները. մասնագետի անդրադարձը
-
Ընդհանուր տեղեկություններ մարմնի համակարգերի մասին
- Բերանի խոռոչի լորձաթաղանթի ախտահարումը սովորական բշտախտի ժամանակ (սկիզբը` նախորդ համարում)
-
Հիվանդություն, որի համար պետք չէ ամաչել (թութք)
-
Ընտրություն ըստ հորոսկոպի
- Խոսենք այդ մասին. ձեռնաշարժություն
-
Հղիությունը և նախապատրաստվելը դրան
-
Երբ գլխացավն ախտանիշ է: Հանճարեղ և օժտված մարդկանց հիվանդություն
-
Լեղաքարային հիվանդություն. բուժման մեթոդները
-
Սեռական թուլության առաջին նախանշանները. news.am
-
Ուլտրաձայնային դոպլերոգրաֆիա (երկակի (դուպլեքս) անոթների)
-
Էկզեմայի տեսակները և բուժումը
-
Իրիդիոսքրինինգ
-
ՈւՆԱԲԻ: Արևելյան բժշկության գաղտնիքները
-
Գամմա-դանակը նշտարի փոխարեն















Գիտական բժշկություն
Հիվանդություններ
Ավանդական բժշկություն
Առողջ ապրելակերպ
Կոսմետոլոգիա
Բժշկական իրավունք
Ալգորիթմեր, թեստեր
Թվեր, փաստեր, դեպքեր
Պատմական խրոնիկա
Աֆորիզմներ
Կարիերային սանդուղքով
Երեխա
Կին
Տղամարդ
Ռեյթինգային համակարգ

